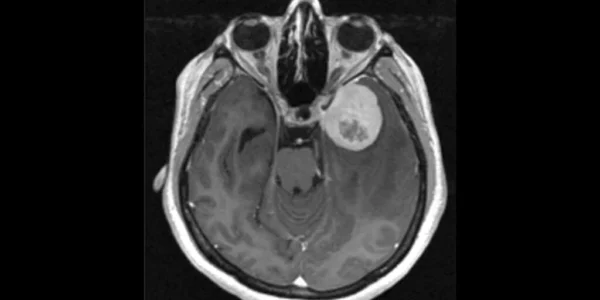
Studi Mayo Clinic: Gen TERT Dapat Jadi Alarm Dini Kekambuhan Tumor Otak Meningioma
Rochester, Minggu 23 November 2025- Sebuah studi multi-institusi yang dipimpin oleh Mayo Clinic menunjukkan temuan signifikan yang dapat mengubah cara dokter mendiagnosis dan menangani meningioma, jenis tumor otak yang paling umum Penelitian yang dipresentasikan pada konferensi Society for Neuro-Oncology (22/11) ini…
Teknologi Baru Apple Music Ubah Pengalaman Mendengar Album Ikonik BTS
Los Angeles, Minggu 23 November 2025 – Para penggemar setia supergrup K-pop BTS, yang dikenal sebagai ARMY, kini dapat menikmati beberapa lagu hits terbesar grup tersebut dengan pengalaman audio yang benar-benar baru Apple Music mengumumkan pada hari Jumat (21/11) bahwa dua…
Meta Rambah Bisnis Perlistrikan Guna Percepat Pasokan Daya ke Pusat Data
Menlo Park, Minggu 23 November 2025 – Perusahaan teknologi raksasa asal AS, Meta, dilaporkan akan menambah lini bisnisnya di bidang perdagangan listrik Menurut Meta, keputusan bisnis itu bertujuan untuk mempercepat pembangunan pembangkit listrik baru yang dibutuhkan untuk memasok energi ke infrastruktur…
Agensi Umumkan Seungmin Stray Kids Absen dari Promosi Comeback ‘Inkigayo’
Seoul, Minggu 23 November 2025 – eungmin Stray Kids dipastikan tidak akan bergabung dengan grupnya untuk promosi comeback di SBS “Inkigayo” hari ini, Minggu (23/11). Keputusan ini diambil setelah anggota Stray Kids tersebut mengalami peradangan pada kakinya Melalui pernyataan resmi, JYP Entertainment…
Drone Sebabkan Gangguan Lalu Lintas Udara di Bandara Belanda
Den Haag, Minggu 23 November 2025 – Pemerintah Belanda menghentikan sementara aktivitas penerbangan, baik sipil maupun militer, setelah ditemukannya drone berkeliaran di wilayah udara negara tersebut Menteri Pertahanan Belanda, Ruben Brekelmans, dalam cuitannya di X pada Sabtu (22/11) malam waktu setempat,…
“Wicked: For Good” Raup Pendapatan Fantastis di Penayangan Perdana
Los Angeles, Minggu 23 November 2025- Sekuel Wicked, “Wicked: For Good”, meraup pendapatan US$68,6 juta di penayangan perdana pada Jumat (21/11), untuk wilayah AS dan pratinjau di 4.115 layar di Amerika Utara Debut yang fantastis itu, membuat film ini diperkirakan meraih…
Seri Terbaru Film “Comic 8” Siap Guncang Bioskop di Libur Natal
Jakarta, Minggu 23 November 2025 – Falcon Pictures mengumumkan bahwa seri terbaru waralaba komedi Comic 8, “Comic 8: Santet k4bin3t” akan mulai tayang di bioskop pada malam Natal, 24 Desember 2025 Pengumuman tayang tersebut dibarengi dengan peluncuran trailer dan poster film tersebut yang…
Puluhan Ribu Orang Tanda Tangani Petisi Minta Pembatalan Aespa di Acara Musik Jepang
Tokyo, Minggu 23 November 2025 – Penampilan aespa di Kontes Menyanyi Merah Putih NHK, salah satu acara musik akhir tahun paling bergengsi di Jepang, terancam dibatalkan, menyusul petisi daring yang telah ditandatangani oleh lebih dari 70 ribu orang Petisi yang diunggah…
Studi: Perempuan Beresiko Kehilangan Pekerjaan Karena AI Dibanding Laki-Laki
London, Kamis 20 November 2025 – Keberadaan kecerdaan buatan (AI) yang semakin canggih berpotensi mengancam eksistensi perempuan di dunia kerja dibanding laki-laki Hasil studi menunjukkan bahwa perempuan beresiko kehilangan pekerjaan akibat AI. Perempuan juga disebut memiliki kemungkinan lebih kecil 20 persen…
Amanda Seyfried Incar Sabrina Carpenter dan Sydney Sweeney untuk “Mamma Mia 3”
Los Angeles, Kamis 20 November 2025- Pemeran Sophie dalam waralaba “Mamma Mia”, Amanda Seyfried, mengungkapkan keinginannya untuk beradu akting dengan penyanyi Sabrina Carpenter dan aktris tv Sydney Sweeney untuk seri ketiga dari waralaba sukses tersebut Hal tersebut diungkap Seyfried saat hadir…









